作者:广东东莞市妇幼保健院 儿科 邹姒妮
2025-10-13 14:31
儿童意外伤害是一个社会性问题,近年来已成为中国0至14岁儿童的首位死亡原因。儿童意外伤害最常发生的地点是家中,发生率为43.2%,其次是学校及幼儿园,发生率为22.8%。其中儿童气道异物近年来越来越常见,占0至14岁儿童意外伤害事件7.9%~18.1%[1]。当幼儿不慎将食物、玩具或其他小物件误吸入气道时,可能会导致呼吸困难、窒息等严重后果。本文将通过几个具体的案例,剖析儿童气道异物的常见原因、症状、急救以及预防措施,以期从中学习经验,提高家长和医护人员的应对能力。
案件回顾
案例一
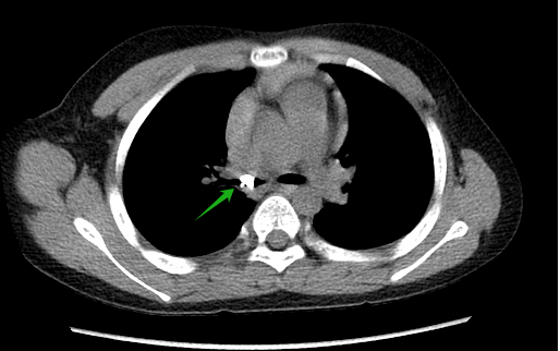
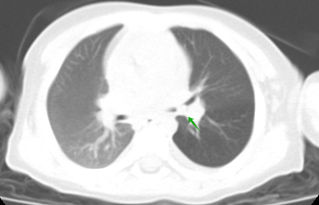
小曦,男,9岁,上体育课时突然龋齿脱落,随后出现呛咳,辗转多家医疗机构治疗3周,咳嗽无缓解,完善胸部CT检查发现右主支气管异物伴右侧阻塞性肺气肿,遂入院行“支气管镜气管异物取出术”,术中取出一颗龋齿,随后呼吸道症状缓解。

(绿色箭头为异物)

(气管镜下取出龋齿)
案例二
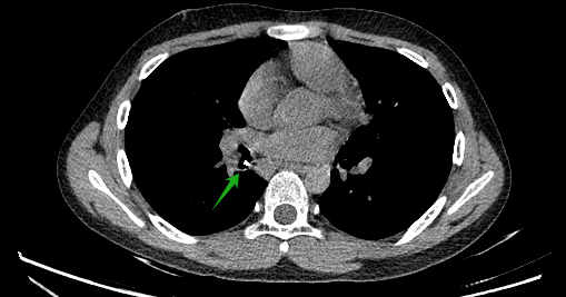
小炫,男,11岁9月,因反复咳嗽5年入院,完善胸部CT检查,影像学诊断右主支气管近段管腔内金属影,遂入院行“支气管镜气管异物取出术+肺泡灌洗术”,术中取出一枚锈迹斑斑的图钉,术后咳嗽症状消失。

(绿色箭头为异物)

(气管镜下取出图钉)
案例三
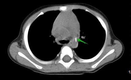
小熙,男,1岁,家人喂食黄鳝饭时出现呛咳,随后开始出现喘息症状,遂收入院。入院查体双侧呼吸音不对称,左侧呼吸音减低伴喘鸣,完善胸部CT检查,发现左主支气管管腔内见一高密度影,考虑左主支气管异物伴左肺阻塞性肺气肿,遂行“支气管镜气管异物取出术+肺泡灌洗术”,取出一骨性异物,术后咳嗽喘息症状缓解。

(箭头高密度为异物)

(箭头为左主异物)

(上图为左主支气管异物)

(上图气管镜取出的异物骨头)
案例四
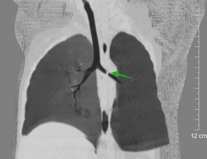
小杨,1岁3月,进食花生时出现呛咳,因“咳嗽喘息5天,加重2天”收住院。入院查体左侧呼吸音减低伴喘鸣,完善胸部CT检查,发现左主支气管管腔内大小约 5.8mm×5.6mm×6.8mm不规则密度影,左肺透亮度增高,考虑左主支气管异物伴左侧阻塞性肺气肿,行“气管镜气管异物取出术”,取出半颗花生。

(箭头为左主支气管异物)

(上图为气管镜取出的花生物)
看到这样的故事大家是不是不寒而栗,您家的孩子是不是也有过类似经历?类似上述案例在医院屡见不鲜……上述四个气道内不速之客的案例,年龄跨度1岁至11岁,案发地有学校也有家中,若家长无法获知呛吸史或患儿隐匿病史,可导致病程迁延甚至长达数年。有效防范儿童气道异物导致的意外伤害,需要全社会的通力合作。
外源性气管异物作为气道内的不速之客,好发于5岁以下的儿童,尤其是2岁以下儿童,大多数是由于进食不当造成食物落入气管而发生,异物种类亦五花八门。婴幼儿气道异物多为家人投喂的食物,例如坚果、果冻、肉类、动物骨头等,而年长儿童的气道异物多为一些不能食用的小物件,比如笔帽、纽扣、回形针、水晶弹等。
儿童气管支气管异物原因
1. 婴幼儿由于牙齿尚未完全萌出,还不能充分嚼碎坚果类食物,且咽喉反射功能不健全,当进食此类食物时如嬉笑、哭闹、跌倒,容易将食物误吸入气道。
2. 儿童好奇心盛,喜欢将玩具、针、钉、扣及笔帽等含于口中。
3. 全麻、昏迷与睡眠等状态的患儿吞咽功能不全,容易导致儿童气道异物的发生。
儿童气管支气管异物症状及危害
儿童气管支气管异物是一种潜在的可危及生命的危急重症之一,其危害程度取决于异物的种类、在气道中所处的位置、阻塞程度、存留时间等。
当异物比较大时,嵌顿在喉部或大气道,儿童会立即出现不能说话、表情痛苦等现象,年长儿会做出双手卡脖及干呕动作,严重者甚至出现皮肤颜色青紫、失去意识,甚至呼吸心跳停止。

当异物比较小时,容易吸入一侧支气管及其以下部位,儿童会出现呛咳,随后由于异物刺激气道,咳嗽可演变成顽固性咳嗽,甚至喘息。如果异物未能及时取出,容易出现感染,导致发热、脓痰,易被误以为是“肺炎”。下气道异物因其多样性及隐匿性,往往被家长忽视,亦增加了医生诊断的难度。因此,如果儿童咳嗽、喘息经过药物治疗,仍迁延难愈,需要怀疑气道异物的可能。

异物的类型不同所致的症状也有所不同。植物性异物如草穗、果壳,容易引起高热、咳嗽、咯血,草穗甚至可随呼吸游走至气道远端,引起胸痛不适;尖锐异物如图钉可导致出血、皮下气肿;化学腐蚀性异物更容易导致呼吸、心跳停止,皮肤青紫及器官的化学损伤。
预防儿童气管支气管异物,给家长朋友们支招
1. 让孩子养成专心吃饭的良好进餐习惯,进食时避免嬉笑、打闹、跑跳,避免平卧位投喂食物,不可给孩子捏住鼻子灌药,以免将药水吸入气道。
2. 避免给3岁以下幼儿吃花生、瓜子等坚果类食物或成块的水果及软糖。食物细碎处理,可以将坚果打成糊或者果汁来补充营养,果冻需要捣成小块状方可给幼儿吃,粥饭里的骨头需要仔细剔除。
3. 人类幼崽好奇心盛,务必将小玩具、图钉、硬币、纽扣电池等能放入口、鼻的危险物品放至小孩够不着地方。加强教育,劝诫儿童不可把小物品放入口中。幼儿需要在家长监护下玩耍,一旦发现儿童口含小物品,小心移除,切不可强行夺取,以免儿童剧烈哭闹误吸。
4. 对于昏迷或全麻后未清醒的孩童,要细心护理,呕吐时头应转向一侧,以免呕吐物误吸入呼吸道。
儿童气道异物如何处理
1. 一旦发现孩子发生气管支气管异物,需立即到医院就医,并让小孩禁食禁饮。儿童气道异物孩子自己咳出的概率很小,越拖风险越大,不仅肺部感染概率增加,取出异物的难度也在增加。家长切不可心存侥幸,以免错过最佳治疗时机。孩子到医院后可能需要进行支气管镜检查取出异物,为确保围手术期安全,务必给孩子禁食禁饮。
2. 海姆立克法,是一种简单易学的急救技巧,紧急情况下可挽救生命。如果儿童异物卡喉出现呼吸困难、面色青紫,家长需马上拨打急救电话,并确保施救环境安全,立即使用海姆立克急救法帮助儿童解除异物梗阻。其基本原理是在异物引起气道梗阻时,通过外力冲击腹部或胸部,使胸腔内的气体在压力作用下涌向气管,从而将异物冲出气道。
儿童海姆立克法分1岁以上及1岁以下两种操作方法。
第一种:1岁以上儿童海姆立克法操作方法可以用“石头剪刀布”口诀帮助记忆。发现1岁以上儿童被异物卡住喉咙,家长要先站在孩子身后,呈前脚弓、后脚蹬的姿势,双臂分别从两腋下前伸并环抱孩子腰部,使孩子上身前倾,然后一手握拳(石头),拳头拇指一侧对准儿童腹部正中肚脐上约二横指位置(食指中指并拢呈剪刀置于脐上协助定位),另一只手包住拳头(包),用力向孩子后上方冲击,重复动作若干次,直到异物排出[1]。



第二种:1岁以内婴儿海姆立克法采用拍背压胸法。首先固定婴儿头部及颈部,使其脸朝下,头部低于躯干呈俯卧位,将婴儿双脚分开骑跨在家长的一只手臂上,用另一只手的掌根向内、向上叩击婴儿背部两肩胛线连线中点5次。如果异物未排出,继续保持婴儿头低脚高位,家长两手前臂将婴儿翻转为仰卧位,躺在家长手臂或者腿上,找到两乳头连线中点的位置,用食指和中指快速向下按压冲击5次,重复背部叩击和胸部冲击多次,直到异物被排出[1]。
使用海姆立克急救法后,不管异物有没有排出,都需及时将宝宝送往医院检查,明确操作过程或者异物是否对宝宝造成二次伤害。切忌将婴儿双脚抓起倒吊进行背部拍打,由于人体构造关系,这样做不仅无法将气道异物排出,还会增加婴儿颈椎受伤的风险。
3.如果儿童因为异物阻塞导致意识丧失,且没有呼吸及心跳,应立即拨打120,并进行心肺复苏。实施过程中注意人工呼吸前要查看口腔是否有异物排出,如果有则将其小心移除[2]。患儿如果持续无呼吸及心跳,心肺复苏需持续进行,直至专业医护团队到来。如果心肺复苏抢救成功,需调整至侧位进行休息,并等待救护车到来。
气道异物是儿童常见且紧急的意外伤害,预防大于治疗,通过学习和掌握相关知识和技能,希望可以更好地预防和应对这一意外的发生,保障孩子的健康成长。