正确认识肺结节

作者:哈尔滨医科大学附属第四医院 放射科 佟金龙

2025-08-13 16:27

近年来,随着体检的普及,肺结节的检出率越来越高,一些人查出肺结节后感到焦虑。实际上,查出肺结节无需焦虑、惊慌,应到正规医疗机构进一步检查明确肺结节性质。肺结节大多是良性的。如果明确为恶性结节,要采取早干预、早治疗措施。

一、为什么肺结节的检出率越来越高

(一)放射科医生诊断水平提升:随着我国医疗服务水平不断提升,放射科医生通过系统学习、进修及培训,对疾病的了解和认知逐步提高,再加上日积月累的临床经验,促使诊断水平提高。

(二)影像检查设备的高速发展:从最早的X线检查,到单排CT,再到现在的多排螺旋CT,拥有超高分辨率、超薄层厚以及多角度三维重建,让很多以前很难发现的病灶,可以清晰地显示出来。

(三)AI智能小结节分析的应用:计算机可以通过自动分割和容积计算方法帮助放射科医生检测到非常小的结节。但AI也会有假阳性、假阴性结果出现,此时就需要放射科医生根据经验来判断AI智能结果是否准确。人脑与智能相结合,使得肺结节的检出更为准确。

图片53.png 

图一 AI智能识别肺结节

二、肺结节的分类有哪些

肺结节分为实性结节、亚实性结节。其中亚实性结节又分为纯磨玻璃结节和部分实性磨玻璃结节。由于目前Fleischner学会已公布了亚实性结节处理指南,认为亚实性结节可能是腺癌的早期形式,所以下文将着重介绍亚实性结节。

image.png 

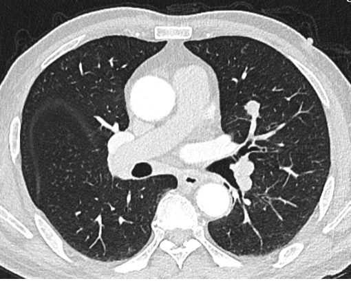
图二:实性结节

 

图片55.png 

图三:纯磨玻璃结节

 

image.png 

图四:部分实性磨玻璃结节

磨玻璃阴影是指肺内局限性密度增高区,边界清晰或模糊,透过该阴影仍可分辨正常肺结构,称为磨玻璃阴影(GGO)或磨玻璃结节(GGN)。对于不含软组织成分的磨玻璃状密度区,首选术语“纯磨玻璃结节”来描述。如果磨玻璃密度区含实性成分使肺结构模糊不清,则称为部分实性磨玻璃结节。在文献中,纯磨玻璃结节和部分实性磨玻璃结节被归类在亚实性结节中。

由于目前肺腺癌分类与亚实性结节的处理有关,按照新的腺癌分类方法(新的分类取消了细支气管肺泡癌和混合型腺癌名称),目前腺癌可分为以下几类:

(一)浸润前病变:包括不典型腺瘤样增生(AAH)和原位腺癌(AIS)。这些病变直径≤3cm,组织学表现为单纯伏壁样生长而无实性成分。CT上表现为纯磨玻璃影(pGGO)。

(二)恶性病变,分为以下几种:

1. 微浸润性腺癌(MIA):以伏壁样生长为主(区别于纯磨玻璃结节),≤3cm,浸润成分≤5mm,CT上通常为亚实性结节。

2. 浸润性腺癌:进一步分为以伏壁样生长为主型、腺泡为主型、乳头状为主型、微乳头状为主型和实体型。

3. 浸润性黏液腺癌:过去称为黏液型细支气管肺泡癌,从以上非黏液型腺癌中另分成一组。

原位腺癌或微浸润性腺癌(CT特点为纯磨玻璃病灶)患者预后很好,这些患者有接近100%的术后生存率。浸润性腺癌的预后各异,从某种程度上取决于组织学亚型。

三、如何评估肺结节

评估肺结节时应考虑到可能的原因,并详细分析结节的形态特点。

(一)结节大小:小结节恶性的可能性很低。筛查研究已证明,小于5mm的结节恶性率很低,且这些结节很常见,一般不建议随访。然而,对于已知其他部位有原发恶性肿瘤的患者则另当别论。大多数良性结节直径小于2cm,结节越小,良性的可能性越大。

(二)部位、形状和形态:叶间裂、胸膜旁及胸膜下小结节常为肺内淋巴组织或肺内淋巴结。这类结节通过细线状影与胸膜表面相连,恶变几率非常低。表面凹陷或胸膜接触面平直是良性结节的特点。非球形、扁平的或管状结节良性的可能性大,胸膜下的实性结节恶性可能性很小。良性和恶性结节均会形成空洞,但良性结节的空洞通常是均匀一致的,而恶性空洞常表现为厚壁、内壁不规则。然而,这一征象有时并不是很可靠的鉴别点。边缘光滑的结节不一定是良性的,也有可能是转移性结节。有毛刺的结节可能提示是恶性的,分叶状结节恶性的可能性较大。

(三)常见影像学征象:

毛刺征:

细短毛刺常见于肺癌,粗长毛刺常见于感染性病变。长度>5mm 为长毛刺,<5mm 为短毛刺;≥2mm为粗毛刺,<2mm为细毛刺。

分叶征:

分叶征是指结节表面轮廓呈多个弧形突起,相邻突起的相交处呈凹陷的切迹,致使结节表面凹凸不平。深分叶多见于恶性病变,浅分叶可见于恶性也可见于良性病变。

胸膜凹陷征:

胸膜凹陷征是指自结节边缘达胸膜面的线状、索条状致密影。常见于肺癌,如果发现尾征出入处为结节的凹陷处则强烈提示肺癌。呈放射状排列指向病灶的“尾征”可见于胸膜增厚,也可见于炎性病变。

血管集束征:

血管集束征是指结节周围的血管束向病灶集中,到达病灶内部,或在血管病灶边缘截断,或受牵拉向病灶移位。常见于肺癌(腺癌最多见)、炎性病变、结核等。

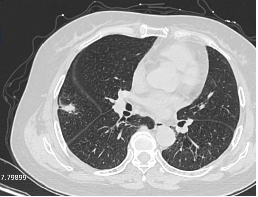
image.png 

图五:毛刺征

图片58.png 

图六:分叶征

图片59.png 

图七:胸膜凹陷征

图片60.png 

图八:血管集束征

四、肺结节处理策略有哪些

(一)实性结节处理方式

1.首次CT检查:

发现结节<6mm的,在第12个月复查CT。发现结节6-8mm的,在第6个月复查CT。发现结节>8mm的,在第3个月复查CT或行PET/CT检查或活检。若检查结果为阴性,在第3个月复查CT;若检查结果为阳性,则手术治疗或特异性治疗。

2.复查CT检查:

发现结节<6mm的,若结节缩小或稳定,则1年后复查,复查连续2年或至消失。若发现病变增大则需要重新评估。

发现结节6-8mm的,若结节缩小或稳定,则在6个月后复查CT,复查连续2年或至消失。若发现病变增大则需要活检或手术。

发现结节>8mm的,若结节缩小或稳定,则在6个月后复查CT,复查连续2年或至消失。若发现病变增大可做PET-CT,若结果显示阴性,则在3个月后复查CT,复查连续2年或至消失;若结果显示阳性,则需要手术/活检。也可直接做活检,若能肯定诊断,则进行特异性治疗;若不能诊断,则在3个月后复查CT,复查连续2年或至消失/手术。

(二)亚实性结节处理方式

大体上,关于亚实性结节有以下建议:

1.孤立的≤5mm的纯磨玻璃结节不需要随访监测。

2.孤立的>5mm但<3cm的纯磨玻璃结节,在3个月CT随访以确定病变是否仍然存在,如果仍然存在且没有变化,之后每年CT监测,至少持续3年。

3.孤立的部分实性GGN(磨玻璃结节),实性成分直径>5mm,3个月后随访复查,病变增大或没有变化时,应考虑其为恶性可能。

4.多发<5mm的边界清楚的GGN,应保守处理,建议第2年和第4年行CT随访检查。

5.多发纯磨玻璃结节,至少一个病变>5mm但没有突出病灶,推荐在3个月首次CT随访检查,之后每年CT监测,至少持续3年。

6.有突出病灶的多发非实性结节,显著性病灶需要进一步处理。在3个月时初次CT随访以确定病变是否持续存在,建议对突出病灶积极诊断处理,特别是当实性成分>5mm时。

 

费莱舍尔学会亚实性肺结节CT处理指南

image.png 

 


承办单位:健康中国建设服务平台
Copyright © 2000 - 2026 All Rights Reserved. 京ICP备2024057860号-3
地址:北京市朝阳区鼓楼外大街21号6层 邮编:100011 Email:jkzgyjzx2035@126.com