消失的牙齿

作者:广西医科大学第一附属医院 儿科 李燕

2025-05-09 17:16

在我们日常生活中,小朋友牙齿松动并脱落是一个很自然的过程,但有时这个过程可能会伴随一些波折。就像每个故事都有其独特的魅力,阳阳小朋友的经历就为我们带来了一段不同寻常的医学小插曲。

故事的主人公是一个5岁的小男孩阳阳(化名)。阳阳有一颗牙齿已经摇摇欲坠,一次不慎的跌倒,这颗即将脱落的乳牙竟意外地被吸入了他的气管,瞬间,一场紧急的医疗救援拉开了序幕。

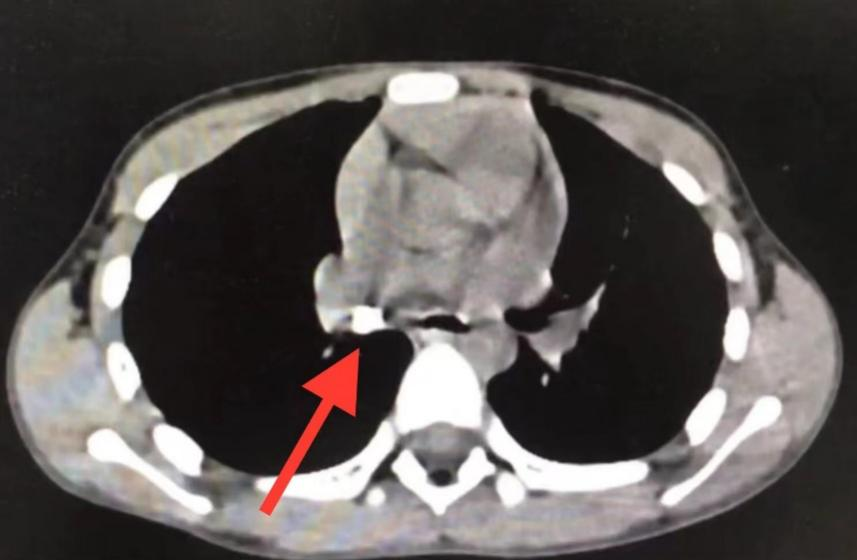
阳阳的父母迅速将他送至附近医院。为准确判断牙齿的位置,医生们首先为他进行了CT检查。CT扫描是一种先进的医学影像技术,它如同透视眼一般,能够提供关于身体内部结构的详细信息,帮助医生准确定位问题并作出相应的处理。通过CT扫描,医生发现那颗牙齿正卡在阳阳的右主支气管中,情况十分危急。若不及时取出,随时可能引发呼吸困难,甚至更严重的后果。

图片14.png 

图1 胸部CT显示右主支气管见一牙齿样异物

为了尽快取出异物,阳阳被迅速转至设备更先进、专业更强的医院。在那里,医生们决定采用支气管镜手术。这是一种微创技术,通过支气管镜,医生能够直接观察到支气管内部的情况,并使用特殊工具将异物安全取出。虽然这样的手术对于经验丰富的医生来说已属家常便饭,但每一步都需谨慎,因为气管支气管是呼吸道的关键部位,稍有不慎就可能造成损伤或生命危险。

然而,令人疑惑的是,在手术过程中,医生们惊讶地发现那颗牙齿竟然消失了。他们反复核对CT结果,确定术前牙齿的确位于右主支气管,可是经过支气管镜细致地检查发现所有支气管管腔通畅,未见任何异物。此时,时间仿佛凝固,手术室内外,每个人都在紧张地等待着答案。

牙齿究竟去哪里呢?

时间一分一秒过去了,医生决定和阳阳的父母紧急沟通。这时候阳阳的妈妈提供了一个重要线索。原来,在接受术前雾化治疗时,阳阳曾出现剧烈的咳嗽,会不会阳阳在咳嗽时将牙齿咳了出来了呢?而这个重要信息,妈妈之前并未告知医生。

根据阳阳妈妈的线索,医生们决定立刻进行腹部X光平片检查,以进一步确定牙齿的位置。X光平片是一种常用的医学影像技术,能够显示身体内部的骨骼和组织结构,为医生提供诊断和治疗的依据。

图片15.png 

图2 腹部平片显示右下腹见一牙齿样异物

经过X线检查,医生终于在阳阳的肠道影像上发现了那颗消失的牙齿,鉴于牙齿已经顺利进入肠道,且其体积较小,医生决定不进行胃肠镜检查,而是选择观察等待。第二天,阳阳在没有任何不适的情况下,成功地将这颗牙齿通过消化道自然排出。

那么这颗牙齿是怎么进入阳阳肠道的呢?医生们猜测,可能是阳阳在接受术前雾化治疗时,由于呛咳将牙齿咳了出来。然而,由于恐惧和混乱,阳阳又不小心将这颗牙齿再次吞入,最终进入了他的肠道。

虽然阳阳的故事充满了悬念和惊喜,但结局却是温馨而圆满的。当那颗小小的牙齿从阳阳的肠道中顺利排出时,所有人都松了一口气。同时这个案例给孩子的父母敲响了警钟,强调了几个至关重要的医学和安全问题:

1. 及时处理松动牙齿:家长们应密切关注孩子的牙齿健康,特别是在换牙期。对于明显松动的牙齿,应在适当的时候由成年人或专业医生协助处理,以避免类似的意外发生。

2. 重视儿童监护与沟通:家长和监护人需要教育孩子,在感到不适或发生异常情况时,应及时告知大人。同时,要教育孩子保持冷静,在发生事故时准确描述情况,以便得到及时有效地帮助。

3. 掌握异物吸入的急救知识:当发生异物吸入的情况时,立即就医至关重要。异物如果卡在气管中,可能迅速导致呼吸道阻塞和窒息,因此家长和监护人应掌握基本的急救措施,并在必要时迅速就医。

 

阳阳的经历并不是个例, 2021年印度 Sidam等人报道了一14岁男孩自发排出右主支气管异物的病例[1]。值得注意的是。在明确出现支气管异物的情况下,等待自发排出是不明智、危险和不可取的。支气管异物的主要治疗方法是支气管镜异物取出术。在准备内窥镜检查时,应时刻注意,患者每次剧烈的咳嗽都有可能会将异物排出,而支气管异物在声门下嵌顿极可能导致猝死。

    

气管支气管异物是一种紧急且潜在致命的医疗状况,其风险不容小觑。这种情况不仅会导致呼吸困难、咳嗽和喘息等明显症状,还可能引发严重的并发症,如肺部感染、气道水肿,甚至窒息。特别是婴幼儿和儿童,由于好奇心强、吞咽功能不全,很容易将小物件、食物或其他物品放入口中,进而造成呼吸道阻塞。老年人则可能因为身体机能下降、吞咽功能减弱等原因,容易发生食物或异物误入呼吸道情况。在我国,气管支气管异物占0~14岁儿童意外伤害的7.9%~18.1%,每年有数以千计儿童因误吞异物或因气管中异物导致窒息而不幸丧生。其中,1~3岁儿童因异物窒息的情况尤为常见[2, 3]。因此,了解支气管异物的风险并采取相应预防措施至关重要,以确保呼吸道畅通无阻和个体生命安全。

海姆立克急救法是全球范围内用于救治气管异物患者的院前急救方法。它利用腹部压迫的方式,通过产生向上的压力,促使肺部残留气体迅速呼出,从而排除气管异物。该方法得名于美国胸外科医生亨利·海姆立克,他被大量的食物、异物窒息造成呼吸道梗阻致死病例震惊,在临床实践中,他发现传统的背部拍击或手指伸入口腔排出异物的方法往往效果不佳,甚至可能使异物更深入呼吸道,导致严重后果,从而发明了海姆立克急救法。海姆立克急救法的基本原理是通过快速挤压腹部,引起膈肌的短暂上移,从而迅速增加胸腔压力,使残留在肺部的气体被迫呼出,进而将异物从气道中排出。简而言之,呼吸系统就如一个充满气体的气球,而气道异物就像是堵在气球入口处的塞子。通过挤压气球,内部的气体压力将塞子排出,恢复正常的呼吸功能。

 

海姆立克急救法的执行流程可以总结为五个步骤,包括询问、观察、呼救、施救、送医。

1. 发现有人出现噎食或发绀征象时,询问患者的情况,确认是否存在呼吸道异物梗阻。

2. 由于此时患者往往无法呼吸和说话,应观察患者是否出现了被称为“海姆立克”征象的手抓喉咙的行为,以进一步确认异物是否卡在喉咙中。

3. 一旦确定了呼吸道异物梗阻,应大声呼救,并让他人拨打120急救电话,以便及时获得专业医疗救助。

4. 正确地执行海姆立克急救法,简单记忆为“石头剪刀布”,以尽快排除异物。密切观察患者的反应,判断异物是否已经被咳出。

5. 尽快将患者送往医院,以便接受进一步的检查和治疗。

海姆立克急救法的适用人群 

1. 立位腹部冲击法

适用于有清醒意识的成年患者。患者身体前倾站立并张口。施救者站在患者背后,双臂环绕患者腰部。一只手握成空心拳(石头),置于患者上腹部中线的脐上两横指处(剪刀)。另一只手握住拳头(布),快速用力向后向上重复冲击腹部,以模拟人工咳嗽,直至异物排出,简单记忆为“石头剪刀布”。每次冲击都应是独立、有力的动作,两次之间要有短暂停顿,注意施力方向为向上向内,避免使用拳击和挤压,以防止胸廓和腹部内脏器的损伤。

图片16.png 

2. 立位胸部冲击法

适用于孕妇和肥胖患者。冲击的步骤与立位腹部冲击法相似,但是需要改变冲击的位置和方向,直接向后冲击患者胸骨中部,直至异物排出。

 

3. 卧位腹部冲击法

适用于意识不清、站立不便的患者。将患者置于平整地面仰卧位,使用仰头抬颏法保持气道通畅。施救者跪在患者旁边,将一手平放在脐上两横指处,远离剑突,另一手置于其上,用身体重量压迫患者腹部,每5~6次一个循环,直至异物排出。

 

4. 单人自救法

适用于独自一人时。可以利用椅背或其他有钝角的物体冲击上腹部中线的脐上两横指处,直至异物排出。

 

5. 婴幼儿施救法

对于婴幼儿,如果小于1岁且有呼吸道异物,不宜使用海姆立克急救法,以免伤及腹腔内器官。应改用拍背压胸法。首先,将婴儿放在大人前臂上,趴在大腿上,头部稍微向下倾斜,在背部两肩胛骨之间拍背5次,然后将婴儿翻正,在胸骨下半段用食指和中指按压5次,直到异物排出。

 

使用海姆立克急救法可能存在一些风险,特别是在处理食道异物时。这是因为气体无法通过食管进入肺部,因此这种方法并不适用于食道异物的紧急处理。如果有鱼刺或其他物体卡在食道里,应该避免使用海姆立克急救法。

 

此外,使用海姆立克急救法可能会导致一些并发症,包括但不限于脾脏破裂、胃破裂、胰腺断裂、多发肋骨骨折以及广泛性肺气肿。因此,在使用这种技术时,必须谨慎并确保操作正确,以最大程度地减少患者可能面临的风险。

 

以下是容易导致老年人和儿童窒息的食物列表,以及为了避免这种情况所建议的预防措施:

对于老人来说,他们可能因为以下食物而窒息:

 

1. 肉类:特别是干燥的肉,如牛肉干或猪肉干,容易粘在喉咙中。大块的肉块难以咀嚼并容易造成窒息,建议将其切成小块或薄片后再食用。

2. 坚果:花生、板栗、瓜子是常见的窒息风险食物,因为它们坚硬且容易滑入气管。

3. 水果:某些水果,如葡萄、樱桃或水果切片,也可能导致窒息,特别是老年人常常有咀嚼或吞咽困难的情况。

4. 面包:吃大块面包或干硬的面包容易引发窒息,特别是老年人口腔和咽喉肌肉功能下降时。过长的面条不易吞食,可能引发窒息。建议将面条切成小段后再烹饪。

5. 黏稠食物:如果冻、奶酪等,容易黏在喉咙中。

 

对于儿童来说,导致窒息的食物可能包括:

1. 果冻:果冻容易黏在喉咙上,可能导致窒息。建议在给老年人和儿童吃果冻时,先将其切碎后再食用,以减少窒息的风险。

2. 小零食:如硬糖、糖果、小饼干等,因为儿童咀嚼和吞咽能力尚未完全发育。

3. 小型玩具:一些小零件或玩具可能被误食,导致窒息。

4. 水果和蔬菜:如葡萄、樱桃、龙眼等,因为它们可能会被误认为是安全的,但却可能引发窒息。

5. 多刺的鱼:建议选择鱼刺较少的鱼类,以减少窒息的风险,并确保食用时将鱼刺完全去除。

 

为了确保老年人和儿童的安全,家长和监护人应当特别留意这些食物,积极采取预防措施以降低窒息的风险。


承办单位:健康中国建设服务平台
Copyright © 2000 - 2026 All Rights Reserved. 京ICP备2024057860号-3
地址:北京市朝阳区鼓楼外大街21号6层 邮编:100011 Email:jkzgyjzx2035@126.com