作者:哈尔滨市双城区人民医院 儿科 邱长宝
2025-03-12 14:27
小儿肺炎是一种常见的呼吸道感染疾病,主要发生在儿童和青少年群体中。它是由细菌、病毒或其他微生物感染引起的肺部炎症性疾病,可影响肺泡、支气管或肺实质,导致一系列不适症状。小儿肺炎通常在冬季和早春季节发病率较高,尤其是在气候寒冷干燥的地区。小儿肺炎的病因多种多样,包括细菌、病毒和真菌等。常见的细菌病原体包括肺炎链球菌、流感嗜血杆菌等;病毒病原体则有呼吸道合胞病毒、流感病毒等。这些病原体可以通过空气中的飞沫传播、直接接触或间接接触等途径感染儿童,引发肺部感染。呼吸道健康对于儿童的成长至关重要。然而,小儿肺炎作为一种常见的呼吸道疾病,时常会给家长和儿童们带来困扰。本文将深入探索小儿肺炎的各个方面,帮助家长更好地了解和应对这一疾病。
一、儿童患上肺炎的原因
首先需要理解儿童是如何逐步形成肺炎的,也就是肺炎形成的一般步骤。从病原体侵入,一般是通过呼吸道进入人体,这通常是通过飞沫传播。当感染者咳嗽、打喷嚏或说话时,病原体附着在空气中的飞沫上,被易感者吸入。进而吸入的病原体在肺部的上皮细胞上定植,并开始繁殖。病原体将激活体内免疫系统,白细胞和其他免疫细胞被吸引到感染部位,试图消灭病原体。然而,炎症反应同时也会导致肺正常组织损伤,所以随着炎症的加剧,患儿开始出现咳嗽、发热、呼吸困难等症状。同时,患儿也会出现一系列的影像学变化。

在适当的治疗下,肺炎可能逐渐恢复,症状缓解,影像学表现改善。如果病情恶化或治疗不当,可能导致严重的并发症。因此,及时、适当的治疗对肺炎的恢复至关重要。
肺炎的发生和进展与多种因素有关,包括病原体的种类、毒力、宿主的免疫状态、环境因素等。因此,预防和治疗肺炎应需要综合考虑这些因素,采取相应的措施。
因此,家长在以下情况下应该警惕儿童可能患上肺炎:
1.持续性咳嗽:如果儿童的咳嗽持续超过一周,且没有明显改善,应考虑肺炎的可能性。
2.发热:儿童出现持续性发热,体温超过38°C,可能伴有寒战,这可能是肺炎的症状。
3.呼吸困难:儿童出现呼吸急促、呼吸费力或呼吸时胸廓凹陷,这些可能是肺炎引起的呼吸困难的迹象。
4.胸痛:儿童说自己胸部疼痛,尤其是在深呼吸或咳嗽时,可能是肺炎引起的胸膜炎症。
5.精神状态改变:儿童出现嗜睡、不安、情绪低落或过度兴奋等症状,可能是肺炎引起的全身性症状。
6.脱水:儿童出现口干、尿量减少、皮肤干燥、眼窝凹陷等脱水症状,可能是肺炎导致的身体反应。
7.免疫系统问题:如果儿童有免疫系统疾病或正在服用抑制免疫系统的药物,更容易感染肺炎。
8.接触史:儿童近期有接触肺炎患者或去过肺炎高发地区,增加了感染肺炎的风险。
9.年龄和健康状况:婴儿和免疫系统较弱的儿童更容易患肺炎,且症状可能更严重。
如果家长怀疑儿童可能患有肺炎,应尽快就医,以便医生进行评估和必要的检查。早期诊断和治疗对于控制病情和预防并发症至关重要。
二、如何预防小儿肺炎
良好的生活习惯对预防小儿肺炎起着重要作用。下面是一些建议:
(一)勤洗手
儿童经常接触各种表面和物品,容易接触到病毒和细菌,而这些细菌和病毒往往是引发肺炎的主要病原体之一。因此,教育儿童养成勤洗手的习惯是预防肺炎的重要措施。尤其是在接触完公共场所、咳嗽或打喷嚏后,及时用肥皂和水洗手,可以有效清除手上的病原体,减少感染风险。
(二)避免接触感染源
尽量避免让儿童接触已经感染肺炎的人或动物,特别是在其出现咳嗽、打喷嚏或其他呼吸道症状时。呼吸道疾病往往通过飞沫传播,因此与患者保持一定距离,戴口罩,以及定期清洁家居环境,可以有效减少感染的机会。

(三)注重营养和充足睡眠
充足的睡眠和均衡的饮食对于儿童的免疫系统至关重要。良好的营养和充足的睡眠可以增强儿童的免疫力,使其更具抵抗力,减少感染的可能性。家长应确保儿童每天摄入足够的水果、蔬菜和蛋白质,以及保证他们有足够的睡眠时间。
(四)定期锻炼
适量的体育锻炼有助于增强儿童的免疫系统,提高身体的抵抗力。家长应鼓励儿童多参加户外活动,进行适当的运动,如游泳、跑步、骑车等,以增强身体素质。
(五)感冒及时治疗
平时注意防寒保暖,如患上感冒一定要及时治疗。尤其是体温有升高的感冒患者特别要注意,这种一般是流行性感冒,合并症多,容易继发感染。而未及时治疗,或治疗不彻底,休息不足引起就会引起感冒加重,因此不能轻视需要及时就诊,并接受正规治疗。
(五)定期接种疫苗
接种预防性疫苗是预防呼吸道感染的重要措施之一。儿童应按时接种相关疫苗,包括流感疫苗和肺炎球菌疫苗等,以提高免疫力,降低感染风险。
通过养成这些良好的生活习惯,家长可以有效预防小儿肺炎,保护儿童的健康。同时,家长还应定期关注儿童的健康状况,如有任何异常症状出现,及时就医并咨询医生的建议。
三、儿童肺炎的诊断和治疗
在儿童的成长过程中,呼吸道健康的重要性不言而喻。小儿肺炎等呼吸道疾病可能给儿童的健康带来挑战。儿科医生的使命是保护宝宝的呼吸系统,确保他们在一个清新的环境中茁壮成长。以下是关于小儿肺炎的诊断与治疗的详细介绍,希望能帮助家长更好地了解和应对这一疾病。

(一)小儿肺炎的诊断
1.体格检查:医生会仔细询问儿童的症状,如咳嗽、发热、呼吸困难等,并通过肺部听诊来判断是否有异常呼吸音。
2.实验室检查:通过检查白细胞计数、C-反应蛋白等指标来评估体内感染情况;痰液检查可以确定病原体的类型。
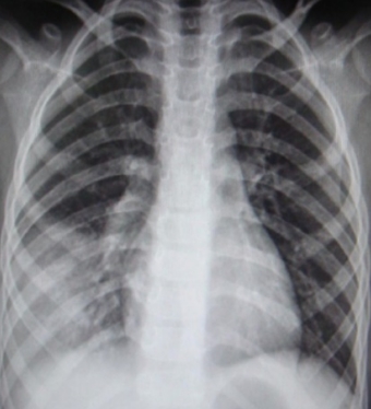
3.影像学检查:胸部X线和CT检查是诊断肺炎的重要方法,可以清晰显示肺部是否存在炎症。
(二)小儿肺炎的治疗
1.抗生素治疗:根据病原体的类型和药物敏感性,医生会选择合适的抗生素进行治疗。常用的抗生素包括青霉素、头孢菌素、大环内酯类药物等。
2.对症治疗:如果儿童出现发热,可以给予退热药物,如对乙酰氨基酚等,以降低体温。如果儿童出现咳嗽并有痰,可以给予祛痰药物,有助于清除呼吸道分泌物。
3.支持性治疗:为儿童提供充足的水分有助于保持水电解质平衡,促进病情康复。儿童应该休息充足,避免过度活动。同时,保证营养均衡,有助于提高免疫力。
(三)注意事项
家长应密切关注儿童的病情变化,如出现呼吸急促、气喘、发绀等严重症状,应立即就医。在治疗期间,家长应避免让儿童接触烟雾、空气污染等有害物质,保持室内空气清新。
小儿肺炎的治疗需要根据患儿的年龄、病情严重程度、病原体类型和药物敏感性等因素综合考虑,并在医生的指导下进行。及时发现和治疗肺炎是保护儿童健康的关键。作为小儿呼吸道“园丁”,医生将竭尽全力守护宝宝的呼吸系统,让他们在一个清新的空气园中茁壮成长。希望家长们同样能够关注儿童的呼吸健康,及时发现并治疗小儿肺炎,让儿童健康成长,远离疾病的困扰。
四、守护儿童健康成长
儿童是家庭的希望,而一个健康的呼吸系统是儿童茁壮成长的重要保障。在儿童成长的道路上,呼吸道健康是至关重要的。小儿肺炎这个隐形的“小怪兽”时常悄然而至,给儿童的健康带来挑战。但是,儿科医生会守护着宝宝的“清新空气园”,保障着儿童们健康成长。在这个充满活力的空气园里,不仅有嬉笑玩耍的儿童,还有悉心呵护的家长。大家共同努力,构筑起一道坚固的防线,抵御着疾病的侵袭,让儿童茁壮成长,笑容灿烂,充满朝气。